无障碍浏览
新闻中心

当前位置:首页 > 新闻中心

【肝胆胰肿瘤内科·临床研究】少见不“少治”,新型免疫联合治疗为晚期神经内分泌癌患者带来希望

发布时间 :2024-08-15 19:13 | 来源:本网

  近日,我院肝胆胰肿瘤内科为两例神经内分泌癌患者进行新型免疫联合治疗,患者肿瘤明显退缩。

  62岁的胡先生(化名)因胃神经内分泌癌术后右下颈、右腋窝、右锁骨区淋巴结转移就诊肝胆胰肿瘤内科。神经内分泌癌恶性度高,传统治疗方法疗效有限。肿瘤内科负责人杨建伟主任医师、肝胆胰肿瘤内科副主任黄莎副主任医师全面评估病情后,认为其符合参加一项“评价LBL-024联合依托泊苷和铂类一线治疗晚期神经内分泌癌(NEC)患者的安全性和有效性的开放、多中心Ⅰb/Ⅱ期临床研究”,该研究有可能极大缓解胡先生的病情。
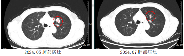
  胡先生起初对参与临床研究顾虑重重,担心临床研究中采用的新药可能带来的风险。但经过悉心解释说明和沟通,逐渐打消了他的疑虑。在接受1个周期治疗后,他原来颈部及腋窝肿大的淋巴结就触诊不到了。2个周期治疗后复查CT,全身转移的肿瘤病灶明显退缩,相比最初缩小了一半以上。目前,胡先生已接受5个周期的治疗,肿瘤仍在进一步退缩中。
 
 
 
  另一位患者,58岁的孙先生(化名)被诊断出胰腺神经内分泌癌伴双肺、腹腔、锁骨区、纵膈淋巴结转移。他慕名至我院肝胆胰肿瘤内科就诊。充分评估病情后,医疗团队同样为其采用了LBL-024联合依托泊苷和铂类的治疗。在2个周期的治疗后,他的肿瘤退缩65%,疗效显著。
 
 
  杨建伟主任医师介绍,神经内分泌肿瘤是一类起源于肽能神经元和神经内分泌细胞、能够产生生物活性胺和(或)多肽激素的异质性肿瘤,可能出现在除毛发、指甲外的全身各个部位。神经内分泌肿瘤发病率较低,属于少见肿瘤,根据恶性程度可分为神经内分泌瘤和神经内分泌癌,神经内分泌癌恶性度高,侵袭性强,生存期短。在治疗方面,晚期神经内分泌癌的治疗仍以化疗为主,但常规化疗有效率低,病情缓解时间有限,可选择的药物较少,对于这部分患者来说研发新的治疗药物迫在眉睫。LBL-024是一种具有独特设计的PD-L1/4-1BB双特异性抗体,根据2024年6月的ASCO会议报告,LBL-024单药治疗肺外神经内分泌癌有效性高,在15mg/kg剂量下,可使37.5%患者肿瘤退缩超过30%以上,同时安全性好,不良反应少,在此基础上联合标准化疗可进一步提高疗效。
科室介绍
  肝胆胰肿瘤内科牵头组建了我院神经内分泌肿瘤多学科诊疗小组,这是福建省内最早成立的神经内分泌肿瘤多学科诊疗小组。同时肝胆胰肿瘤内科牵头成立了福建省抗癌协会神经内分泌肿瘤专业委员会,杨建伟主任担任主任委员,带领专委会成员在福建省内积极推广神经内分泌肿瘤精准个体化、多学科协作的治疗模式,推动神经内分泌肿瘤的规范化诊疗工作。目前科室也承担了多项神经内分泌肿瘤相关临床研究,期望为神经内分泌肿瘤患者带来更多的治疗选择。
附件下载:
相关文档